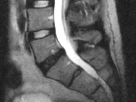
Degenerative Disc Disease (DDD)



What it is:
Despite the term “disease”, DDD describes the progressive wear and tear of intervertebral discs: loss of water content, loss of disc height, and changes in disc structure.
How it happens / risk factors:
Age is the major risk factor, along with smoking, genetic predisposition, occupational loading, repeated microtrauma. As discs degenerate, they can affect adjacent joints (e.g., facet joints), change spinal biomechanics, and may lead to pain or other pathologies.
Symptoms:
- ✅ Chronic or intermittent deep back (or neck) ache
- ✅ May worsen with activity, bending, lifting
- ✅ Sometimes radiation of pain if adjacent nerve structures become involved
- ✅ Some people have DDD visible on imaging but little to no symptoms
Why it matters for chiropractic care:
Chiropractors must appreciate that DDD often underlies multiple spinal complaints and could moderate care: slower progress, emphasis on maintenance, exercise, posture, ergonomics, and possibly coordination with other providers.